艰难梭菌是一种厌氧的革兰氏阳性细菌,就像个“怕光怕氧的小隐士”,最喜欢待在阴暗缺...
冬春季节是甲肝高发期,尤其春季发病率达到峰值,这与节日聚餐频繁、饮食卫生隐患增加...
当国庆的红旗邂逅中秋的明月,8天长假为团圆与出行铺就了美好底色。家人围坐共品家宴...
预防基孔肯雅热,最关键的就是避免被蚊子叮咬,因为该病不会人传人,不被蚊子咬就不会...
洪水退去后可能是传染病暴发的高峰,特别是急性出血性结膜炎,俗称“红眼病”。
甘肃省疾控中心提醒您:预防基孔肯雅热请做好“清积水、灭成蚊、防叮咬”!
基孔肯雅病毒主要通过携带病毒的伊蚊叮咬传播,最常见的是埃及伊蚊和白纹伊蚊。当蚊虫...
冬春交替,仍是甲流多发期。甲流常见的症状有:发热、咳嗽、全身乏力、呕吐、腹泻、食...
由于受传统观念影响,一些人认为肺结核是不治之症,特别是在农村地区,患肺结核便背上...
医生一旦为病人确定了治疗方案,病人自己就不应轻易中断治疗或改变治疗方案,否则可能...
及时发现结核病人,积极治疗结核病人。这是最有效的预防措施之一。我们知道结核病人,...
军团菌病是由革兰染色阴性的嗜肺军团杆菌引起的一种以肺炎为主的全身性疾病,1976...
肺结核病人吸烟可影响抗结核药物的疗效。研究证明:吸烟能增强肝脏酶活性,加速药物在...
过去,许多人把结核病看做"富贵病",这是由于在抗结核药物尚未发明之前,结核病的治...
学校是师生高度集中、接触频繁密集的场所,一旦发生结核病,不仅影响师生身体健康,而...
结核病是传染病,危害健康负担重,健康教育不放松,核心知识须牢记,防病意识要提升 ...
军团菌肺炎侵入人体大约10天后发病,临床症状包括发热、咳嗽、咳痰、呼吸困难等非特...
夏日炎炎,骄阳似火,头晕、腹泻、胃胀等夏季常见病也悄然而至,如何预防夏日疾病?
2024年3月24日是第29“世界防治结核病日”,今年的活动主题是“你我共同努力...
“Light Up for TB”(“为终结结核病 点亮城市的红”)是一项全球...
为做好甘肃省世界防治结核病日宣传活动,甘肃省疾病预防控制局、甘肃省疾病预防控制中...
2024年3月24日是第29个“世界防治结核病日”,主题是“你我共同努力 终结结...
新学期到来的同时一定要继续保持良好的卫生习惯来抵御各类传染病的侵扰
新春佳节将至,假期前后人群流动性增加,返乡、探亲访友和外出旅行的人员将明显增多。...
小儿肺结核多为原发性肺结核,是由于结核杆菌第一次侵入肌体而致病的,90%以上的原...
全国第四次结核病流行病学抽样结果显示,老年结核病患病率高于其他各年龄组患病率。老...
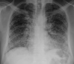
肺结核患者咳嗽、打喷嚏或大声说话时,喷出的呼吸道飞沫中会含有大量的结核菌,健康人...